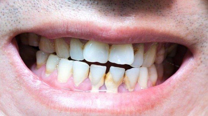
TRIBUNSHOPPING.COM - Beberapa kebiasaan seperti malas menggosok gigi, makan makanan tinggi gula, hingga merokok ternyata bisa menyebabkan karang gigi muncul.
Yups, bagi banyak orang, karang gigi tentu sangat mengganggu penampilan.
Selain itu, karang gigi juga bisa membuat gigi jadi mudah keropos, dan bau mulut.
Nah, memang benar cara paling efektif mengatasi masalah karang gigi adalah pergi ke dokter gigi.
Tapi sebelum itu, kamu bisa lebih rutin membersihkan gigi dan mulut dengan menggosok gigi dan membersihkan sela gigi dengan benang gigi khusus agar masalahnya tidak semakin parah.
Selain itu, kamu juga bisa menggunakan bahan-bahan alami yang dipercaya mampu merontokkan karang gigi tanpa perlu biaya mahal.
Ingin mencoba cara alami dulu sebelum harus ke dokter untuk menghemat budget?
Dikutip dari berbagai sumber, berikut ini Tribunshopping telah merangkum informasinya untukmu:
1. Mengunyah Buah Apel

Cara alami pertama yang bisa kamu pilih untuk bantu merontokkan karang gigi secara alami adalah mengunyah buah apel.
Yups, ternyata makan apel mentah dengan kulitnya sebagai makanan penutup lebih sehat daripada pilihan lainnya.
Cara ini memungkinkanmu membersihkan gigi secara alami.
Rutin mengunyah atau makan buah apel dipercaya bisa bantu mencegah plak dan karang gigi muncul.
Kamu juga akan memiliki gusi yang lebih sehat dan mencegah pendarahan.
2. Minum Jus Jeruk

Berikutnya, kamu juga bisa memilih buah jeruk untuk hempas masalah karang gigi.
Vitamin C pada buah jeruk bisa mencegah mikroorganisme tumbuh di permukaan gigi.
Kamu dapat meminum jus jeruk setiap pagi atau dapat menggosok bagian dalam kulit jeruk pada gigi sebelum tidur.
Baca juga: 11 Bahan Alami Merontokkan Karang Gigi dengan Mudah dan Murah serta Bisa Dilakukan Sendiri di Rumah
3. Racikan Buah Stroberi dan Tomat

Kamu juga bisa memilih buah stroberi dan tomat untuk mengatasi masalah karang gigi.
Kedua buah ini memang kaya akan vitamin C.
Jika menggosoknya di gigi, kamu tidak hanya menyingkirkan plak tapi juga memutihkan gigi.
Diamkan beberapa menit sebelum dibilas.
4. Mengonsumsi Wortel dan Seledri

Berikutnya beralih ke sayuran, yakni racikan dari wortel dan seledri.
Perlu kamu tahu, kalau ternyata sayur mentah melindungi kesehatan gigi.
Bukan tanpa alasan, karena mereka meningkatkan produksi air liur dan memperkuat gigi.
Pilih yang memuaskan nafsu makan dan bekerjalah sebagai camilan yang baik di antara waktu makan.
Misalnya, kamu bisa menggunakan seledri atau wortel.
5. Makan Kacang Almond

Kacang-kacangan dapat membantu mengatasi masalah karang gigi jika memakannya utuh.
Yups, hal ini karena gesekan saat mengunyah yang terjadi pada gigi.
Dengan mengunyah almon, makan dapat membantu menghilangkan plak dan tartar sedikit demi sedikit.
Segelas almond, misalnya, menghilangkan residu yang terperangkap di gigi dan gusi.
Sangat menarik, bukan?
6. Manfaatkan Biji Wijen

Cara alami yang juga bisa kamu lakukan untuk mengatasi karang gigi yang berikutnya adalah memanfaatkan biji wijen.
Tekstur biji wijen menghilangkan plak dan memutihkan gigi.
Kamu hanya perlu mengunyah satu sendok makan biji wijen tanpa menelannya untuk mendapatkan manfaatnya.
Kemudian gunakan sikat gigi untuk menyikat.
Gunakan pasta yang dibuat dengan biji dan air liur.
Setelah itu, bilas dengan banyak air hangat.
7. Perawatan dengan Baking Soda dan Lidah Buaya

Cara mengatasi karang gigi secara alami yang berikutnya adalah memanfaatkan baking soda dan lidah buaya.
Bahan rumahan ini sangat efektif untuk hempas masalah karang gigi.
Kamu bisa menggunakan hingga dua kali seminggu setelah menggosok gigi di malam hari.
Untuk meracik bahan ini juga mudah.
Pertama, siapkan secangkir air, 1/2 cangkir baking soda, 1 sdm gel lidah buayam 10 tetes minyak esensial lemon, dan 4 sendok makan gliserin nabati kalau ada.
Setelah itu campurkan semuanya, dan kocok sampai mendapatkan pasta halus, kemudian simpan campuran dalam wadah gelas dengan penutup.
8. DIY Pasta Gigi anti Karang Gigi

Terakhir, kamu bisa membuat DIY pasta gigi anti karang gigi.
Berkat pasta gigi buatan ini, kamu dapat menghindari bahan kimia yang mereka gunakan untuk membuat pasta gigi yang dijual di toko.
Selain itu, kamu bisa mendapatkan manfaat dari kebaikan bahan-bahan alami untuk menyingkirkan karang gigi dan memiliki gigi yang lebih sehat.
Cara pembuatannya cukup mudah.
Pertama sipakan 1/2 cangkir minyak kelapa, 3 sdm baking soda, 2 sdm bubuk stevia, dan 20 tetes minyak esensial (pilihan)
Kemudian masukan minyak kelapa, baking soda, dan stevia ke dalam sebuah wadah.
Setelah itu campur dengan baik dan tambahkan minyak esensial yang kamu pilih (misalnya, bisa berupa lemon, mint, atau lavender).
Gika sudah, campurkan sampai kamu mendapatkan pasta yang halus, kemudian simpan campuran tersebut dalam botol kaca.
Gunakan ini setiap hari seperti yang kamu lakukan dengan pasta gigi konvensional.
Nah, itulah beberapa buah-buahan dan cara alami lainnya untuk hempas masalah karang gigi yang mengganggu penampilanmu. (*)
(RIRIN/TRIBUNSHOPPING.COM)
Belum ada komentar. Jadilah yang pertama untuk memberikan komentar!