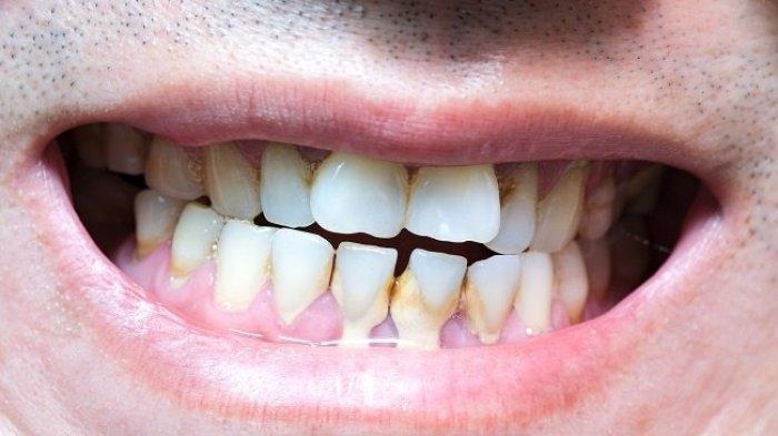
TRIBUNSHOPPING.COM - Senyummu kurang percaya diri karena punya masalah karang gigi?
Tenang, karena ada beberapa bahan alami yang bisa kamu manfaatkan untuk mengatasinya, kok!
Masalah karang gigi sebenarnya sangat umum terjadi.
Pasta gigi terbaik untuk mengatasi karang gigi bisa kamu dapatkan di sini.
Karang gigi terjadi karena beberapa penyebab, seperti tidak menjaga kebersihan gigi dan mulut dengan baik, kebiasaan konsumsi makanan manis yang tinggi gula, hingga kebiasaan merokok.
Karang gigi bagi banyak orang bisa sangat mengganggu penampilan, maka tak heran banyak yang mau merogoh kocek dalam-dalam untuk melakukan perawatan mengatasi karang gigi.
Nah, buat kamu yang ingin mencoba cara menggunakan bahan alami untuk merontokkan karang gigi, simak terus artikel ini.
Dikutip dari berbagai sumber, berikut ini Tribunshopping telah merangkum informasinya untukmu:
1. Kumur dengan Garam Dapur
Sudah sejak lama, garam dapur menjadi salah satu bahan alami untuk berbagai masalah, salah satunya untuk meringankan gejala sakit gigi.
Nah, selain untuk mengurangi gejala sakit gigi, garam dapur dipercaya untuk menghilangkan karang gigi secara alami.
Caranya mudah, kamu hanya perlu masukkan 1 sendok teh garam ke dalam segelas air hangat.
Setelah diaduk dan tercampur, kumur-kumur dengan air ini terutama pada area karang gigi selama 1 menit, tapi jangan ditelan.
Agar hasilnya maksimal, kamu bisa melakukannya sebanyak 3 kali dalam sehari.
2. Oil Pulling dengan Minyak Kelapa
Cara alami mengatasi karang gigi yang pertama adalah oil pulling menggunakan minyak kelapa.
Oil pulling atau berkumur menggunakan minyak mampu membantu meningkatkan kesehatan mulut secara keseluruhan dengan menjaga lingkungan bebas kuman di mulut.
Minyak kelapa bisa jadi pilihan untuk oil pulling karena memiliki sifat antiradang, antioksidan, dan antimikroba.
Teknik penarikan minyak (oil pulling) dapat mengurangi plak gigi hingga 50 persen pada orang yang mengalami radang gusi.
Caranya dengan menempatkan minyak kelapa hangat di mulut, yang dilanjutkan dengan berkumur selama beberapa menit sebelum memuntahkannya.
3. Berkumur dengan Cuka Putih dan Garam
Cara alami yang bisa kamu coba berikutnya adalah berkumur menggunakan cuka putih yang dicampur garam.
Cuka putih merupakan cairan asam asetat, yang membuatnya efektif dalam membunuh bakteri mulut dan mencegah infeksi.
Cara membersihkan karang gigi, kamu perlu mencampur dua sendok makan cuka putih dalam setengah cangkir air hangat.
Tambahkan satu sendok garam dan aduk merata.
Lalu berkumurlah dengan campuran tersebut sekali sehari secara teratur, untuk menghilangkan karang gigi yang menumpuk di antara gigi dan gusi.
4. Menggosokan Buah Stroberi atau Tomat
Baik stroberi atau tomat bisa jadi pilihan mengatasi karang gigi secara alami.
Strawberry dan tomat bisa dipadukan sebagai cara menghilangkan karang gigi membandel.
Hal ini karena keduanya merupakan sumber vitamin C yang baik untuk kesehatan rongga mulut.
Gosokkan kedua buah ini langsung ke gigi, dan diamkan selama 5 menit.
Biarkan kandungan vitamin C-nya memperlunak timbunan karang gigi.
Setelah itu berkumurlah dengan air hangat yang dicampur baking soda agar hasilnya lebih maksimal.
5. Menyikat Gigi dengan Jus Lemon
Berikutnya kamu juga bisa memanfaatkan jus lemon untuk mengatasi karang gigi.
Bahan alami Jus lemon dapat dimanfaatkan untuk menghilangkan plak pada gigi.
Kadar asam pada jeruk lemon juga membuat gigi lebih putih.
Kamu dapat menggunakan air perasan lemon untuk menyikat gigi.
Hal ini termasuk salah satu cara menghilangkan karang gigi secara alami.
Meskipun demikian, jangan terlalu sering digunakan karena dapat menyebabkan erosi gigi.
6. Menggosokkan Kulit Jeruk
Ternyata, kulit jeruk juga bisa bermanfaat untuk mengatasi karang gigi secara alami.
Cara alami yang satu ini banyak dipilih karena dianggap mudah dan murah.
Kamu hanya perlu menggosokkan kulit jeruk pada gigi yang bermasalah di malam hari.
Kemudian biarkan semalaman dan berkumurlah di pagi hari.
7. Kunyah Daun Sirih dang Cengkih
Cara alami untuk mengatasi karang gigi yang berikutnya adalah menggunakan daun sirih.
Tidak hanya merontokkan karang gigi, bahan alami ini bisa mengusir bau mulut.
Caranya pun mudah.
Cukup siapkan selembar daun sirih dan 1 batang cengkih, lalu tumbuk hingga setengah halus.
Kunyah campuran bahan tersebut dengan rutin setiap hari agar hasilnya efektif.
8. Menggunakan Ekstrak Lidah Buaya
Cara terbaik dan alami untuk merontokkan karang gigi yang berikutnya adalah menggunakan lidah buaya.
Lidah buaya memang dikenal dengan banyak manfaat kesehatannya, termasuk menghilangkan karang gigi.
Walaupun memang terasa pahit, namun ekstrak daun lidah buaya segar bisa kamu gosokkan ke gigi.
Cara ini bisa mengurangi penumpukan karang gigi dan populasi bakteri di mulut.
9. Kunyah Daun Jambu dan Buahnya
Kamu juga bisa memanfaatkan daun jambu beserta buahnya untuk merontokkan karang gigi yang mengganggu penampilan.
Daun serta buah jambu disebut dapat membantu menghilangkan plak dan karang gigi secara alami serta mengurangi pembengkakan gusi.
Caranya, kunyah daun jambu biji bersih setiap hari dan memuntahkanny untuk mengurangi risiko penumpukan plak pada gigi.
Selain dengan buahnya, kamu juga bisa mengambil jambu mentah, taburkan garam di atasnya dan kunyah sekali atau dua kali sehari.
10. Biji Wijen
Biji wijen ternyata juga dipercaya dapat menghilangkan karang gigi.
Caranya ambil satu sendok biji wijen lalu masukkan ke mulut serta kunyahlah namun jangan ditelan.
Kemudian gosok gigi dengan pasta biji wijen.
Untuk mendapatkan hasil yang maksimal, kamu bisa melakukan cara ini setiap hari.
11. Rajin Minum Air Putih
Cara alami yang paling mudah dan murah serta wajib dilakukan untuk mengatasi karang gigi adalah dengan rajin minum air putih.
Hal ini karena rongga mulut yang lembab dapat menjaga kebersihan gigi dari sisa makanan.
Minum air putih setelah makan juga akan membantu membilas sisa-sisa makanan yang menempel pada gigi sehingga mencegah terjadinya plak.
Air putih juga akan membantu menyeimbangkan zat mineral pada rongga mulut untuk mencegah gigi berlubang.
Nah, itulah 11 bahan yang bisa jadi cara alami merontokkan karang gigi dengan mudah dan murah, serta bisa dilakukan sendiri di rumah. (*)
(RIRIN/TRIBUNSHOPPING.COM)



