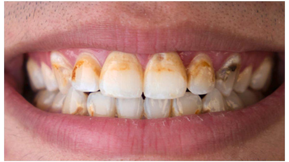
TRIBUNSHOPPING.COM - Menyadari banyak plak dan karang gigi hingga membuat senyum jadi kurang menarik?
Jangan biarkan karang gigimu dan segera atasi masalahnya.
Plak gigi terbentuk ketika bakteri dalam mulut bercampur dengan protein dan sisa-sisa makanan pada gigi.
Nah, biasanya plak gigi timbul karena sikat gigi yang kurang bersih.
Lama kelamaan jika tidak dibersihkan, plak tersebut dapat menyebabkan karang gigi.
Selain dengan melakukan tindakan pembersihan karang di dokter gigi, ternyata ada beberapa cara alami yang bisa kamu coba sendiri di rumah.
Penasaran apa saja?
Dikutip dari berbagai sumber, berikut ini Tribunshopping telah merangkum informasinya untukmu:
1. Rajin Minum Air Putih
Cara alami mengatasi karang gigi yang pertama adalah rajin minum air putih.
Apa hubungannya minum air putih dan karang gigi?
Ternyata hal ini bisa terjadi karena rongga mulut yang lembab dapat menjaga kebersihan gigi dari sisa makanan.
Minum air putih setelah makan juga akan membantu membilas sisa-sisa makanan yang menempel pada gigi sehingga mencegah terjadinya plak.
Air putih juga akan membantu menyeimbangkan zat mineral pada rongga mulut untuk mencegah gigi berlubang.
KLAR Sonic Electric
2. Rutin Makan Sayur dan Buah
Cara alami untuk mengatasi karang gigi yang tak kalah mudah ternyata adalah mengonsumsi sayur dan buah.
Salah satu cara sederhana yang bisa dilakukan untuk merontokan karang gigi adalah dengan memperbanyak makan buah dan sayuran.
Ini karena buah dan sayuran membantu meningkatkan produksi air liur.
Sementara air liur sendiri berfungsi untuk membilas kotoran, sisa-sisa makanan, hingga bakteri di dalam mulut.
Baca juga: 7 Cara yang Bisa Merontokkan Karang Gigi Secara Alami, Benarkah Manjur?
3. Gosok dengan Kulit Jeruk
Kamu juga bisa mencoba menggosok gigi dengan kulit jeruk untuk merontokkan karang gigi secara alami.
Cara alami yang satu ini banyak dipilih karena dianggap mudah dan murah.
Kamu hanya perlu menggosokkan kulit jeruk pada gigi yang bermasalah di malam hari.
Kemudian biarkan semalaman dan berkumurlah di pagi hari.
4. Mengunyah Daun Sirih dan Cengkih
Cara alami untuk mengatasi karang gigi yang berikutnya adalah menggunakan daun sirih.
Tidak hanya merontokkan karang gigi, bahan alami ini bisa mengusir bau mulut.
Caranya pun cukup mudah.
Kamu hanya perlu menyiapkan selembar daun sirih dan 1 batang cengkih, lalu tumbuk hingga setengah halus.
Kemudian kunyah campuran bahan tersebut dengan rutin setiap hari agar hasilnya efektif.
5. Berkumur dengan Minyak Kelapa
Kumur menggunakan minyak kelapa juga bisa dicoba untuk merontokkan karang gigi secara alami.
Jadi, kalau kamu punya minyak kelapa murni di rumah, kamu bisa memanfaatkannya sebagai cara merontokan sekaligus menghilangkan karang gigi.
Minyak kelapa mengandung antioksidan dan asam laurat yang dapat membantu membasmi bakteri jahat di dalam mulut.
Caranya, kamu cukup berkumur dengan satu sendok makan minyak kelapa selama 5-10 menit.
Untuk mendapatkan hasil yang maksimal, kamu bisa mengulangi cara ini setiap hari.
6. Berkumur dengan Cuka Putih dan Garam
Cara alami yang bisa kamu gunakan untuk merontokkan karang gigi berikutnya adalah menggunakan cuka putih.
Cuka putih merupakan cairan asam asetat, yang membuatnya efektif dalam membunuh bakteri mulut dan mencegah infeksi.
Cara membersihkan karang gigi, kamu perlu mencampur dua sendok makan cuka putih dalam setengah cangkir air hangat.
Tambahkan satu sendok garam dan aduk merata.
Lalu berkumurlah dengan campuran tersebut sekali sehari secara teratur, untuk menghilangkan karang gigi yang menumpuk di antara gigi dan gusi.
Baca juga: 7 Bahan Alami Mengatasi Karang Gigi Mudah dan Murah, Bisa Dilakukan di Rumah
7. Menyikat Gigi dengan Jus Lemon
Berikutnya kamu juga bisa memanfaatkan jus lemon untuk mengatasi karang gigi.
Bahan alami jus lemon dapat dimanfaatkan untuk menghilangkan plak pada gigi.
Kadar asam pada jeruk lemon juga membuat gigi lebih putih.
Kamu dapat menggunakan air perasan lemon untuk menyikat gigi.
Hal ini termasuk salah satu cara menghilangkan karang gigi secara alami.
KLAR Tooth Flosser Aquapulse
8. Mengoleskan Soda Kue
Terakhir, kamu juga bisa memanfaatkan soda kue untuk merontokkan karang gigi secara alami.
Endapan karang gigi bisa dihilangkan dengan menggunakan bahan abrasif ringan dari soda kue.
Caranya, kamu perlu membentuk pasta dari baking soda, lalu mengoleskannya ke sikat gigi. (*)
Cek Berita dan Artikel yang lain di Google News
(RIRIN/TRIBUNSHOPPING.COM)








Belum ada komentar. Jadilah yang pertama untuk memberikan komentar!