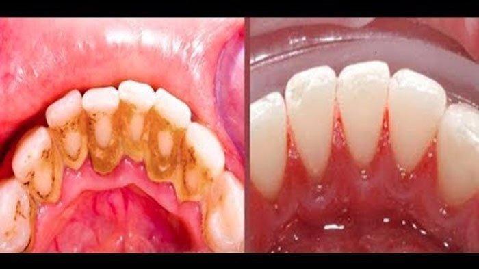
TRIBUNSHOPPING.COM - Siapa disini yang pernah melakukan scaling gigi? Scaling adalah pembersihan atau pengangkatan plak dan karang yang ada pada gigi, lebih baik scaling dilakukan oleh dokter spesialis gigi.
Penumpukan yang terjadi pada plak dan juga karang gigi disebabkan karena sisa-sisa kotoran dari makanan yang menumpuk dan tak terlalu jeli untuk dibersihkan maka akan terbentuk karang gigi.
Biasanya jika dibiarkan telalu lama karang akan menumpuk dan menyebabkan rasa tidak nyaman untuk seseorang tertutama ketika sedang makan, orang yang memiliki karang gigi tebal akan kurang nyaman ketika makan karena pada saat mengunyah akan terhalang dengan karang gigi tersebut.
Perawatan gigi wajib dilakukan setiap 6 bulan sekali untuk mencegah terjadinya penumpukan sisa-sisa makanan kembali, karena jika karang gigi sudah terlanjur menumpuk tentu akan mengakibatkan masalah pada mulut secara keselurihan.
Ketahui beberapa makanan penyebab terbentuknya karang gigi yang dapat merusak enamel dan bisa mengakibatkan kesensitifan pada gigi.
Baca juga: 5 Manfaat Bleaching Gigi di Tangan Profesional
Baca juga: 3 Cara Mudah Bersihkan Karang Gigi di Rumah Tanpa Perlu Datang ke Dokter

1. Keripik Kentang
Siapa yang tak suka keripik kentang? Makanan ini memang enak untuk dijadikan camilan untuk berbagai usia namun ternyata makanan ringan ini dapat menyebapkan faktor timbulnya karang gigi.
Keripik kentang terbuat dari pati yang nantinya akan menjadi gula dan mengendap di antara sela pada gigi sehigga besar kemungkinan untuk membuat penumpukan plak pada gigi.
2. Roti
Tak disangka ternyata makanan pengganti nasi ini dapat menyebabkan munculnya plak pada gigi, karena ternyata pada saat mengunyah roti maka air liur akan memecah roti menjadi gula kemudian roti akan menempel diantara celah gigi dan itu adalah faktor terjadinya gigi berlubang dan juga karang gigi.
Jika anda penikmat roti tawar tak usah khawatir untuk alternatif lainnya anda bisa gunakan roti gandung utuh yang lebih sedikit mengandung gula dibandingakn roti tawar biasanya.
3. Buah Kering
Buah memang tinggi akan nutrisi dan serat jika dikonsumsi akan baik untuk tubuh, namun bagaimana jika buah dikeringkan? Pasti akan mengandung banyak gula dan mudah lengket pada gigi ketika mengunyah.
Hal tersebut yang dapat menyebabkan karang gigi, alternatif lainnya ketika anda selesai makan buah kering ada baiknya untuk segera kumur dan sikat gigi agar tak mencegah pembentukan plak.
4. Permen dan Cokelat
Jangan sepelekan ternyata makanan yang mengandung pemanis berlebih seperti permen dan cokelat juga dapat menjadi salah satu faktor terbesar pembentuk adanya karang gigi loh.
Baca juga: Jangan Asal, Perhatikan 5 Hal Ini Sebelum Memilih Pasta Gigi untuk Anak
Baca juga: Rekomendasi 4 Produk Pasta Gigi yang Aman untuk Anak dan Balita
Apalagi jika malas untuk membersihkan gigi setelah mengkonsumsi makanan manis seperti permen dan cokelat.
5. Soda
Minuman ini sudah pasti banyak mengandung gula yang dapat membahayakan bagi kesehatan gigi, soda biasanya akan mengikis enamel gigi karena berkarbonasi mengandung asam fosfat dan sirat.
Untuk itu batasi minuman bersoda lebih baik ganti dengan perbanyak minum air putih yang sekaligus dapat membersihkan mulut dari sisa-sisa makanan yang masih menempel pada dinding gigi. (*)
(NOVIA/TRIBUNSHOPPING.COM)
Belum ada komentar. Jadilah yang pertama untuk memberikan komentar!